
原图来源:Unsplash
撰文|王昱
审校|clefable
你有没有在健身房见过这种人:对镜子摆出各种pose,欣赏自己苦苦锻炼出来的肌肉。如果你没有有这样做过,基本上只有两个可能——一种是因为你没有锻炼出这么好的肌肉;另一种是健身房里人太多,有点放不开。
撸铁锻炼出的肌肉确实让人上瘾。可以说,肌肉越多,越容易对着镜子欣赏自己健美的身材。当肌肉多到一定程度的时候,谁能忍住不在健身房里臭美一把呢——当然也可以回家臭美。
健身人也自嘲,这是被 “肌肉控制了大脑”。不过最近在北美放射学会(RSNA)年度会议上公布的一项研究表明,肌肉和大脑其实真的有关系,而且肌肉数量多和大脑年轻有关。
大脑的年龄
我们一般用年龄来衡量一个人的衰老程度。但想必每个人都亲眼见过这样的场景,两个年龄相仿的人,看上去却完全不像同龄人——实在不行可以去查看一些保养较好、已到中年的名人的照片,再对比下你身边50多岁的“老男人”,他们看起来绝对不像同龄人。年龄相同的人,衰老程度可能完全不同。
在这个层面上,科学家则更进一步,越来越多的研究表明,人体各个器官的衰老程度并不相同,甚至每个器官都有自己的生物学年龄。去年7月,美国斯坦福大学的神经病学和神经科学教授Tony Wyss-Coray的团队在《自然·医学》(Nature Medicine)上发布了一篇论文,表示他们可以根据血液样本推测各个器官的年龄。更重要的是,他们还发现,在所有器官中,大脑的年轻程度和寿命长短显著相关。
那么,如何才能让大脑更年轻呢?近期,美国华盛顿大学医学院的Cyrus Raji团队给出了明确的答案。根据他们最近在RSNA会议上公布的初步成果,较高的肌肉量与年轻的大脑相关。
这项研究的主要作者Cyrus Raji说:“更健康的体魄,更多的肌肉量和更少的腹部脂肪,更有可能拥有健康、年轻的大脑。而更好的大脑健康状况又能降低未来患脑部疾病(如阿尔茨海默病)的风险。”
MRI扫描
他们的研究尚未完全完成,但已经得出了非常明确的结论。
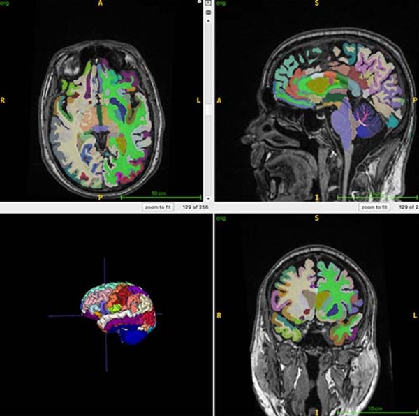
这项研究已经招募了4个地点,共1164名健康个体接受了全身核磁共振成像(MRI),参与者的平均年龄为55.17岁。在本研究中,研究人员使用T1加权扫描模式,这种方式可以让脂肪在最终的扫描成像中呈亮色,而液体呈暗色,从而能更好地区分肌肉、脂肪和脑组织。同时,研究人员使用人工智能算法来量化肌肉体积、内脏脂肪、皮下脂肪和大脑年龄。

在本研究中,研究人员使用脑部MRI结合人工智能量化脑部年龄。图片来源:RSNA.org/press25
他们很快发现,受试者内脏脂肪与肌肉的比值较高,与较高的大脑年龄相关,而皮下脂肪与大脑年龄没有显著关联。Cyrus Raji说:“虽然人们普遍知道,随着年龄增长,肌肉量会减少,内脏脂肪会增加。但这项研究表明,这些健康指标与大脑衰老本身有关。研究表明,量化测量身体中的脂肪和肌肉可以作为大脑健康的指标,追踪大脑衰老情况。”
优化减肥疗法
不论是增加肌肉,还是减少脂肪,都是可以实现、且能客观检测的指标。这是一项非常宝贵的成果,能为未来的疗法提供监测靶点。
目前大范围使用的GLP-1类减肥药物(如司美格鲁肽等),可以显著减少服用者的脂肪,但同时,也造成了较高的肌肉流失负担。研究人员表示,肌肉和内脏脂肪数量比值更加关键。Cyrus Raji说:“根据我们研究的见解,在减少脂肪(特别是内脏脂肪)的同时,保持肌肉体积,对大脑衰老和脑健康是最好的。我们的研究有助于为未来的疗法确定GLP-1的最佳剂量方案,以实现在身体健康和大脑健康上同时取得最佳成果。”

图片来源:unsplash+
2026年3月,司美格鲁肽核心化合物专利保护期将在我国到期,目前国内已经有数家药企正在研发GLP-1类药物。而本次研究发现,或许能让GLP-1疗法更加科学有效,同时还能保护大脑健康。
参考链接:https://www.rsna.org/media/press/2025/2614
https://pmc.ncbi.nlm.nih.gov/articles/PMC12724943/
https://www.phirda.com/artilce_41335.html?module=trackingCodeGenerator
https://www.nature.com/articles/s41591-025-03798-1
https://www.eurekalert.org/news-releases/1090110
https://mp.weixin.qq.com/s/YLXNWWo4liBPpBjVFbyhUw
https://mp.weixin.qq.com/s/1CTZQJGBh038ZZOQeqMU9Q
