
核电站禁区内的场景 图片来源:Unsplash
撰文|clefable
审校|王怡博
太空中的实验
2018年12月,一种黢黑的生物被送上了国际空间站开展研究。与此同时,地面上的对照实验也在同步开展。众所周知,在太空中,除了失重的环境,还需要面对太空中的高能射线。国际空间站中的辐射强度大约是地球平均本底辐射的20~60倍。
实验开始2天后,宇航员发现暴露在高强度γ射线下,这种生物的新陈代谢似乎加快了,生长十分旺盛。在26天的实验中,宇航员通过摄像机、以及温度、湿度和辐射传感器,记录了这种生物在实验中的状态。不过,一直要等到2019年6月实验装置返回地球后,最终结果才揭晓——这种生物在太空辐射下的生长速度甚至比在地球上更快,最高是地面的1.58倍。
虽然不比休眠的水熊虫和小立碗藓孢子可以在外太空存活,但这种黢黑的生物——球孢枝孢菌 (Cladosporium sphaerospermum)也显示出了一种特殊的能力:不仅能吸收破坏性的太空辐射,甚至将其化为己用的能力。这些发现于2022年7月发表在了《微生物学前沿》(Frontiers in Microbiology)杂志上。

球孢枝孢菌的菌落、菌丝和孢子(并不是在核电站废墟附近发现的菌株)图片来源于论文
而此时,就在这个世界的另一角、地球上辐射最严重的地方——切尔诺贝利核反应堆爆炸后的废弃遗址周围,球孢枝孢菌中的一类菌株正在依靠核辐射的能量旺盛生长,甚至一点点靠近核反应堆最核心的区域。
利用辐射生长
1986年4月,切尔诺贝利核电站4号反应堆内发生蒸汽爆炸与核心熔毁后,随后是持续10天的燃烧,大量的铯-137、碘-131等放射性核素(会释放高能的β射线、γ射线和中子)被释放到大气中。爆炸发生后,核电站周围2600平方千米的区域被列为切尔诺贝利禁区(CEZ)。40年来,这里一直深受科学家和公众的关注。
乌克兰科学院的科学家Nelli Zhdanova主要聚焦于禁区中更微观层面的变化。她和同事从1997年开始勘测这块区域,曾进入核电站4号机组人员的宿舍,并在从那里采集的样本中发现了球孢枝孢菌。随后,他们对此进行了大量相关的研究。
这些特别的研究催生了出了两个术语——“向辐射性”(radiotropism)和“辐射营养性”(radiotrophy),它们形容的正是球孢枝孢菌。Zhdanova还在论文中推测,这种真菌可以在核电站4号反应堆的墙壁和钢筋混凝土表面活跃生长。

核电站禁区内的场景 图片来源:Unsplash
不过,可以抵抗甚至利用核辐射能量生长的,并非只有这种真菌。他们分析了从核电站周围分离出的约2000株真菌,发现不少真菌可以分解“热粒子”,也就是反应堆中的放射性石墨。不过,它们真正喜欢的其实是核辐射——他们通过将一些真菌暴露在一个固定的、释放β射线和γ射线的电离辐射源周围,发现它们会向着辐射源生长。
2007年,一群来自美国阿尔伯特·爱因斯坦医学院的科学家在发表于PLOS ONE的论文中,揭示了更多球孢枝孢菌吸收和转化核辐射的细节。
强大的黑色素
核辐射会释放大量高能粒子,就像子弹击穿皮肉一样,直接破坏掉生物细胞中的蛋白质和DNA。这些射线还能电离细胞中的水分子,产生大量的氧化自由基,间接破坏或杀死细胞。当暴露剂量过大时,大量细胞可能会直接死亡,引发器官衰竭等现象。长期慢性的暴露则会导致全身多个系统出现功能衰退和引发癌症等。
照射阳光时,我们接触到的是中长波紫外线,它们的能量在约4 eV左右。如果时间很长,我们通常会晒黑,而这是由于皮肤产生了黑色素来对抗紫外线。相比之下,核辐射的能量可以达到数百到数十万电子伏特。令人意外的是,在研究球孢枝孢菌时,研究人员发现它对抗核辐射的方式,竟然和人体对抗紫外线的方式类似——都是利用黑色素。
在PLOS ONE的论文中,研究人员分析了包括球孢枝孢菌在内的多种抗辐射真菌,核辐射的存在会让这些真菌的生长速度加快,生物质量增加。即便是营养匮乏的情况下,球孢枝孢菌也能利用核辐射生长。除此之外,相比于其他的真菌,球孢枝孢菌可以产生丰富且结构多样的黑色素。

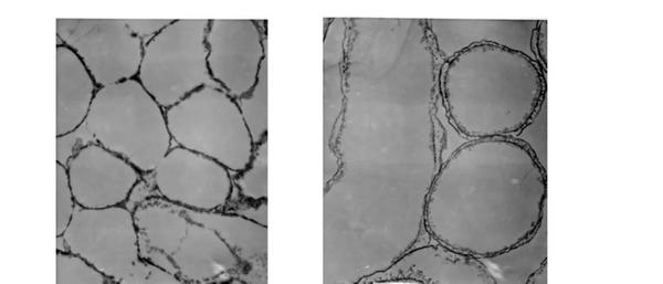
球孢枝孢菌等真菌的细胞周围有一圈黑色素 图片来源PLOS ONE论文
黑色素主要分为两大类,分别是真黑色素和褐黑色素。真黑色素是一种深棕色至黑色的色素,而褐黑素是一种红棕色色素,它们会构成一些通过共价键连接、富含电子和芳香族结构单元的聚合物。
类似于人体皮肤中的黑色素对紫外线的作用,这些黑色素可以吸收高能射线的能量,将其转化为分子中化学键的振动——也就热能。另外,它们还会散射掉核辐射,与真黑色素(287个电子)相比,褐黑素低聚物中有多达388 个电子数。高能的γ射线进入时,会因为这些电子的作用不断转向,并失去能量,这可以避免引发有害的化学反应。
与此同时,黑色素也是一种强效抗氧化剂,黑色素聚合物可以迅速提供电子,中和掉有害的活性氧。还有一些研究发现,黑素体会聚集形成 “黑素帽”,聚集在细胞核的周围,保护DNA免受损伤。
抗辐射的起源
Ekaterina Dadachova正是这项研究的第一作者。在接受BBC的采访时,她表示与未接受辐射培养的同类真菌相比,在放射性铯下培养的真菌的生长速度提高了10%。受辐射的真菌似乎还会利用辐射能量,来促进自身的新陈代谢。
Zhdanova此前的研究也曾发现,这些真菌会通过两种方式来处理放射性粒子,一是通过过度生长降解,二是通过代谢产物间接降解。
“电离辐射的能量大约是光合作用利用的白光能量的100万倍,”Dadachova表示,“所以需要一种非常强大的能量转换器。我们认为黑色素就具备这种能力——将电离辐射转化为可利用的能量。”然而,即便已有这些实验研究,生物利用核辐射的能量仍然是一种理论,需要揭开黑色素与生物代谢之间的确切机制才能确认。

核电站禁区内的场景 图片来源:Unsplash
不过,他们一致赞同抗辐射的球孢枝孢菌只局限于特定的地区,比如切尔诺贝利禁区。但利用黑色素抗辐射的能力或存在一个更古老的起源。一些科学家发现一些极端的环境中,包括北极和南极地区,以及高海拔地区,栖息着很多产黑色素的真菌。这些地区正是自然辐射更高的地区。
另外,一些古生物学家曾在早白垩世的地层中发现了大量高度黑色素化的真菌孢子。当时,地球上曾存在过短暂的磁场显著下降的现象,地球失去了抵御宇宙辐射的“保护层”,而许多动植物也因此灭绝,或许正是黑色素让这些真菌活了下来。
当然,生物对抗辐射的方法远不止黑色素一种形式。对于承受超高辐射剂量的细菌Deinococcus radiodurans,研究人员发现这种细菌产生的一些代谢物会与锰结合,形成一种强大的抗氧化剂,帮助它们抵抗辐射。
这些对抗辐射甚至吸收辐射的生物的研究,或许将一些更大的用途,比如帮助宇航员抵抗太空负责,或者促进更遥远的外星探索等等。已有一些研究发现,多种天然和半合成的黑色素基化合物和复合材料,具有阻挡电离辐射和非电离辐射的能力。当前已有一些太空实验也在对这些材料和相关的微生物进行研究。
更广泛的关注
当我们的思维走向太空时,或许在记忆深处并不会遗忘40年前这场人类历史上最大的人为灾难。麻省理工学院的科学史学家凯特·布朗(Kate Brown)曾经在调查乌克兰、白俄罗斯和俄罗斯的多个地区,发现这次灾难带来的真实影响要远比我们认知的更严重。
而灾难的承担者主要是前往禁区的清理人员,以及从中撤离的居民。据官方数据,有60万人曾作为清理人前往禁区,很多人因核辐射的影响饱受心血管疾病、神经系统疾病和癌症等的折磨。而被迫从中迁出的大约20万人,由于通过空气、食物和饮用水摄入大量核素,他们的死亡率明显增加。这些人甚至其后代体内的基因组损伤和不稳定性水平都增加了。

核电站废墟周围的狗 图片来源:Unsplash
而当人类撤离之后,禁区中仍然保留了复杂的生态系统。一些科学家也在追踪动物们的变化。近年来也有一些令人惊讶的报道,比如,普林斯顿大学的生物学家卡拉·N·洛夫(Cara N. Love)和同事通过初步的研究发现,白俄罗斯禁区中的狼群存在一些明显变化。除了狼群密度明显增加,它们体内一些基因区域的分化速度明显要比其他狼群快得多,且集中于和癌症免疫反应或抗肿瘤免疫反应相关的基因周围。
2023年3月,一项发表于《科学·进展》(Science Advances)的研究也发现在切尔诺贝利反应堆附近活动的狗,相比于当地市区的狗已经出现了明显的遗传差异——这很可能是隔离环境和长期辐射压力共同导致的。
灾难发生的时间可能比较短暂,但其造成的后续影响,每一次被唤起时,都会是一场漫长的余震。
参考链接:https://gna.it.com/melanin-dna-protection?
https://www.ans.org/news/article-5761/cancerresistant-genes-in-wolf-population-at-chernobyl/
https://www.frontiersin.org/journals/microbiology/articles/10.3389/fmicb.2022.877625/full
https://www.bbc.co.uk/future/article/20251125-the-mysterious-black-fungus-from-chernobyl-that-appears-to-eat-radiation
https://www.bbc.co.uk/future/article/20190725-will-we-ever-know-chernobyls-true-death-toll
https://www.science.org/doi/10.1126/sciadv.ade2537
https://pmc.ncbi.nlm.nih.gov/articles/PMC2677413/
https://pmc.ncbi.nlm.nih.gov/articles/PMC2671032/
https://pubmed.ncbi.nlm.nih.gov/17520016/
https://www.nature.com/articles/s41598-023-31509-8
https://www.familydoctor.cn/news/cheng-xijun-kenan-chaoqiang-kangfushe-weishengwu-mimi-26916.html
https://journals.plos.org/plosone/article?id=10.1371/journal.pone.0048674
https://www.science.org/doi/10.1126/sciadv.ade2537
https://www.nature.com/articles/s41598-022-16063-z
https://www.sciencedirect.com/science/article/abs/pii/S0953756208604281?via%3Dihub
