
图片来源:Unsplash+
撰文|clefable
审校|冬鸢
步入冬日清晨水蓝的天空下,感受刺眼的阳光和喧嚣不绝的车流时,大家或许会感觉整个世界十分嘈闹、明亮或者有些扭曲,但恐怕只会将其归咎于意识还不清醒,而不是大脑出了什么问题。
然而,2009年3月的那个清晨,当赶早高峰的苏珊娜·卡哈兰(Susannah Cahalan)感觉世界变得更明亮、喧嚣,以及让她感到些许痛苦时,不曾料到此后的一个月,自己将会坠入彻底失控和痛苦的脑炎深渊。
黑暗的一个月
卡哈兰是华盛顿邮报的记者,当时刚满24岁的她,才工作了一年左右。从那天清晨开始,一种异样感一直缠绕着她,她感觉自己变得不像自己。当她和一位同事分享这个感受时,同事笑着说,“我几乎没有感到过自己像自己。”
但现实并不是玩笑。渐渐的,卡哈兰开始感觉左侧身体麻木,这一侧的胳膊和腿开始隐隐作痛。在精神和身体的双重困扰下,她变得难以入睡,有时会一整夜失眠。就像所有被拉紧的弦都需要释放一样,在一个工作日上午,她的精神崩溃了——不过,在短暂的嚎啕大哭之后,她很快平静了下来。只是她在内心深处开始怀疑自己是不是疯了,或者患上精神疾病——是时候该去医院检查一下了。
经过一系列检查和两次核磁共振扫描后,医生没有找到任何原因,只是怀疑她可能有“单核细胞增多症”,或是遭受了病毒感染,然后不了了之。与此同时,卡哈兰的状况却急转直下,在和男友一起看节目时,她癫痫发作并昏迷了——根据卡哈兰的回忆,这是她最后关于疾病的记忆。
先是仍然没有查出任何症状的CT扫描,随后她开始出现被迫害妄想症,她认为医生们都要害她。又一次检查中,医生又推测一个病因:酒精戒断反应,然而卡哈兰几乎不饮酒。随之而来的是第二次癫痫发作,她的妄想症、失眠、思维混乱也变得越发强烈。她开始对亲人大发雷霆,攻击性变得越来越强,并怀疑自己患上了躁郁症。
之后,又是一次更严重的癫痫发作和住院治疗。在医院时,她会因一时发怒掌掴给她做检查的护士,并在输液时拔掉输液管,尖叫着试图从医院逃跑。在住院的两周时间内,每天都有各类医生来给她诊断,她几乎做了所有检测,但依旧是查不出任何病因。

图片来源:Unsplash+
为了治疗妄想症,卡哈兰服用了很多稳定精神症状的药物(齐拉西酮)和抗焦虑药物(劳拉西泮),虽然症状减轻,但她开始变得无法阅读、说话困难,难以回答问题,吞咽也变得十分费力。一切似乎已经走到了悬崖的边缘,但她的父母并不想把她送入精神病院,他们害怕将会彻底失去她。
好在奇迹出现了!他们遇到了被同事称为“豪斯医生”的神经科医生苏赫尔·纳贾尔医生(Dr. Souhel Najjar)。他也是纽约大学医学中心的神经病理学家和癫痫病学家。纳贾尔查看卡哈兰的检测报告后,发现两次腰椎穿刺都显示,她脑脊液中的白细胞计数过高,这说明她出现了脑肿胀。
随后,这位医生让卡哈兰在纸上画一个钟。虽然疑惑,但卡哈兰还是照做了,而她画出的钟面让所有人都倒吸一口凉气——钟面上所有数字都出现在钟的右边。根据这些线索和卡哈兰的多种症状,纳贾尔认为卡哈兰(控制身体左侧)的右脑出现了炎症,具体是一种自身免疫性脑炎。或者说,她右脑中存在一种异常的、攻击自身的抗体,引发了脑肿胀。
但更多的缓慢死亡
经过进一步的脑部手术活检和抗体检测后,卡哈兰确诊了抗N-甲基-D-天冬氨酸受体(NMDAR)自身免疫性脑炎。这种疾病出现的原因至今未知,一些临床推测是由病毒感染或外周肿瘤引起。实际上,在卡哈兰确诊两年前,这种疾病才首次被描述,而卡哈兰是第217位确诊的患者,也是在纽约大学第一位确诊的患者。

卡哈兰的住院照片和脑部的情况 图片来源于iocdf.org
确诊后,卡哈兰很快接受了类固醇给药、血浆置换和静脉注射免疫球蛋白的联合治疗。她的病情慢慢好转,最终她的认知和身体完全恢复了。相比于很多就算康复后仍有严重或者轻微认知障碍的人(占比大概是45%),这也可以称得上一个奇迹。
如果你从卡哈兰经历看出,这种病的出现似乎没有征兆,可能主要威胁年轻人,那可以说你的直觉十分准确。据悉,这种疾病主要影响20至30多岁的人,在儿童和青少年中十分常见,而最小的患者只有21个月大。而根据一项纳入633例患者的综述性研究,该病的中位发病年龄为22.6岁。另外,这种疾病主要会威胁女性,男女的比例大约为1:4。
结合2022年发布的一些病例报告,该疾病似乎会突然袭击。比如,根据Acta Epileptologica杂志上的病例报告,一位11岁女孩在剧烈运动后出现上腹部疼痛,紧接着是一系列症状,包括肌肉无力、晕厥、尿失禁、呕吐,以及头痛发作和烦躁不安等。最终她也确诊了抗NMDAR脑炎。
另一个病例是一位24岁女性,她因为急性意识模糊而急诊入院。随着意识迅速恶化,她开始出现吞咽困难、呼吸衰竭和严重的心动过缓。入院第23天,她经由脑部磁共振成像检测,确诊了抗NMDAR脑炎。

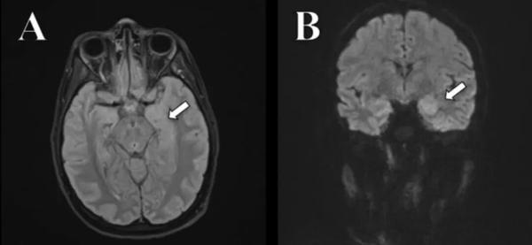
患者的海马不对称,出现了炎症 图片来源于论文
类似的病例还在陆续出现。但幸运的是,这种疾病仍然是一种罕见病,每年影响约百万分之一的人。
不过这种疾病的治疗和诊断,如今仍然不容乐观。在2009年时,纳贾尔曾估计当时大约有90%这种疾病的患者并未确诊,约80%的患者会癫痫发作。其中许多人可能会被送进精神病院或者疗养院,无法得到任何治疗。
不过,随着检测技术的发展,检测患者自身血清或脑脊液中的抗NMDAR的自身抗体,可以较高地提高诊断率。脑脊液检测通常更敏感、更特异,也是这种疾病诊断的金标准。
但针对这些有害的自身抗体,开创出这种疾病的特效药,并不是一件容易的事。2009年时,卡哈兰使用的三种疗法,包括类固醇给药、血浆置换和静脉注射免疫球蛋白的联合治疗,当前依旧是一线的治疗方法。而当它们失效时,患者就需要采用二线治疗方案,包括利妥昔单抗和环磷酰胺。这两种药物均可以通过靶向B细胞来限制自身抗体的产生。
近年来,一些研究发现几乎一半的病例都和肿瘤有关,特别是卵巢畸胎瘤。在治疗时,及时切除肿瘤将能帮助患者改善症状,并降低这种疾病复发的风险。
更多的研究和治疗
NMDAR ,也就是NMDA受体,其实是一种兴奋性的谷氨酸门控离子通道,广泛存在于神经突触的后膜上,对神经信号的突触传递、突触可塑性和高级认知功能(包括记忆和学习等)至关重要。
这种受体也是一个需两把“钥匙”才能打开的“锁”,一个是钥匙是谷氨酸,另一个是甘氨酸或者是D-丝氨酸,它们分别结合在受体上的GluN2亚基和GluN1亚基。当锁被打开后,神经元内外的离子会快速流动并形成动作电位,随着神经元开始兴奋,又能激活下游的神经信号。
在神经元中,想要将这把“锁”固定在突触后膜上,还需要一种关键的受体EphB2。EphB2被蛋白Ephrin激活后,与GluN2亚基的结合会更加稳定,从而更好地将NMDAR固定在突触后膜。
一旦这样的状态被破坏,就会引发上述的多种严重症状。那么它会如何被人体自身的抗体破坏呢? 2018年,一篇系统性的综述汇总了633例抗NMDAR脑炎患者的临床症状,发现这些可以穿过血脑屏障的致病抗体,主要会靶向NMDA受体的GluN1亚基,进而导致谷氨酸能神经元细胞信号传导受损。1月14日,在一项发表于《科学·进展》(Science Advances)的研究中,俄勒冈健康与科学大学的研究人员通过构建小鼠模型,模仿人类中的抗NMDAR脑炎。
当这些小鼠出现自身免疫性脑炎后,他们分离出了小鼠体内所有的天然抗体和NMDAR的聚合物,并通过近原子级别的成像技术,揭示了GluN1亚基的氨基末端结构域(ATD)是这些病理性抗体靶向的一个抗原“热点区域”。
与此同时,他们还发现这些抗体和GluN1亚基结合后,并不会抑制整个受体,而是会再连接另一个受体,让这些受体聚集——这种聚集通常会破坏突触组织。而随着聚集信号被细胞识别,这些受体会被拉入神经元内部,并最终被降解。

抗体可以同时结合多个NMDA受体,进而导致受体被神经元内吞,进而引发各种严重的大脑症状。图片来源于论文
一些研究人员还发现,抗体还会阻止EphB2和GluN2亚基的结合,让NMDAR无法稳定待在突触后膜上。这些都会导致受体被拉到细胞内,进而被“报废”。随着突触后膜上的这种受体减少,神经信号的传递效率会明显降低,突触的可塑性也会严重受损,而各种症状也会陆续出现。
该研究的共同作者、神经科医生Gary Westbrook表示,这项发现或能为开发一种专门针对这个致病位点的药物铺平道路。他进一步指出,目前针对这种疾病的相关免疫抑制疗法并非总是有效,一旦免疫抑制治疗减少,这种疾病还有可能复发,概率为12%~25%,因此我们确实需要一些更具体的疗法。
从治疗之中康复后,苏珊娜·卡哈兰重新切换回了一个记者的身份,通过收集来自父母、男友以及医护人员等的信息,她撰写了关于自己患病的回忆录:《燃烧的大脑:我发疯的一个月》(Brain on Fire: My Month of Madness)。随着这本书的畅销,这种罕见的自身免疫性大脑炎症也逐渐为人们所知。
这种病主要影响年轻人,而且看起来很“邪恶”。她写道,在不了解内情的人看来,它“充满恶意,患病的人就像是突然被附身,变成了如同恶魔般的生物。” 她还提道,她的男友“再也不敢看 《驱魔人》了”。因为那部电影中的画面让他觉得太逼真了,会让他感到不安。
参考链接:https://www.eurekalert.org/news-releases/1112385
https://nypost.com/2009/10/04/my-mysterious-lost-month-of-madness/
https://www.theguardian.com/books/2013/jan/13/susannah-cahalan-brain-fire-interview
https://link.springer.com/article/10.1186/s41983-022-00512-7?
https://pubmed.ncbi.nlm.nih.gov/40041640/
https://www.mdpi.com/2076-3425/15/5/518
